RS85 з новими діагностичними функціями, забезпечує виняткову якість зображення і високу продуктивність. Передові технології з використанням штучного інтелекту дозволяють з упевненістю підтверджувати складні випадки. У той же час, легка в експлуатації система полегшує роботу, пов’язану з рутинною скануванням.
Модуль обробки зображень CrystalPure™ допоможе вам зробити більш надійну діагностику за допомогою базових 2D-зображень і поліпшеної кольоропередачі. Він також зменшує частоту появи перешкод і підвищує рівень обробки кольорового сигналу.
Crystal Architecture ™, архітектура обробки зображень, що поєднує в собі CrystalBeam ™ , CrystalPure ™, та датчикі S-Vue, забезпечує кристально чисте зображення.
CrystalBeam ™ – це нова технологія формування променю, що забезпечує високу якість і високу однорідність зображень.
CrystalPure ™ – це сучасний процесор ультразвукової візуалізації Samsung з поліпшеною обробкою 2D-зображень, обробкою колірного сигналу і вдосконаленим інтелектуальним алгоритмом, який забезпечує видатну продуктивність зображення і ефективний робочий процес в складних випадках.
ShadowHDR™ вибірково застосовує високочастотний і низькочастотний ультразвук для виявлення тіньових областей, таких як голова плода або хребет, де відбувається затухання.

без ShadowHDR™

з ShadowHDR™
Функція обробки зображенні HQ-Vision™ усуває розмитість, притаманну ультразвуковим знімкам, і робить їх більш чіткими.

Cухожиля без HQ-Vision™

Cухожиля з HQ-Vision™
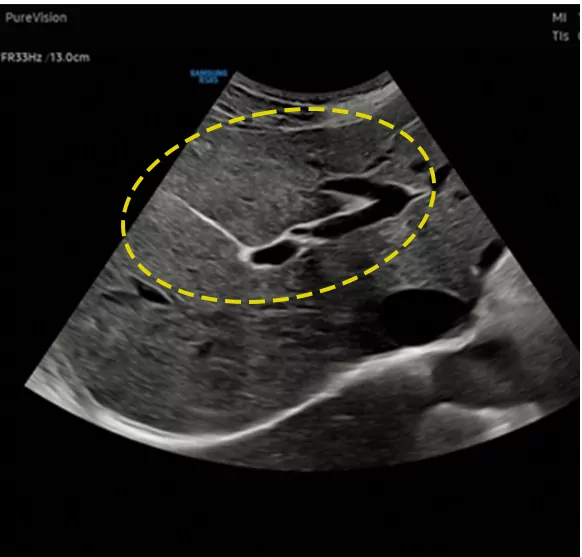
PureVision™ – це функція обробки зображень, яка виводить з хорошою рівномірністю та чітким зображенням, виконуючи придушення шумного випромінювання та покращення краю в B-режимі.

без PureVision™

з PureVision™
MV-Flow™ візуалізує мікроциркуляцію і уповільнений кровотік інтенсивністю кольору.

Нирка з MV-Flow™
Технологія спрямованого енергетичного допплерa S-Flow™ дозволяє детально розглянути найдрібніші периферичні кровоносні судини. Функція забезпечує точну діагностику в тих випадках, коли дослідження кровотоку утруднено.

Сухожиля пальців з S-Flow™
LumiFlow™ – це функція, яка візуалізує кровотік в тривимірному вигляді, щоб допомогти інтуїтивно зрозуміти структуру кровотоку і дрібних судин.

Вузол щитовидної залози (S-Flow™ з LumiFlow™)
Наші функції дозволяють медичним працівникам здійснювати навігацію і кількісну оцінку поширення ультразвуку в режимі реального часу, допомагаючи їм візуалізувати і робити свої оцінки з високою точністю.
HRI (Hepato Renal Index) – це показник для кількісної оцінки стеатозу печінки шляхом порівняння ехогенності паренхіми печінки і кори нирок.

EzHRI™
TAI ™ (Tissue Attenuation Imaging) забезпечує кількісний вимір ослаблення в тканинах для оцінки стеатотіческіх змін печінки.

TAI™
TSI ™ (Tissue Scatter distribution Imaging) забезпечує кількісний вимір розподілу тканинного розсіювання для оцінки стеатотіческіх змін печінки.

TSI™
S-Shearwave Imaging™ дозволяє проводити неінвазивну оцінку жорстких тканин у різних застосуваннях. Еластограма з кольоровим кодуванням, кількісні вимірювання, параметри відображення та функції ROI, які вибирає користувач, особливо корисні для точної діагностики захворювань молочної залози та печінки.

Печінка з S-Shearwave Imaging™
Функція, яка аналізує окремі поразки в молочній залозі, надає дані аналізу, застосовує BI-RADS ATLAS* (Breast Imaging-Reporting and Data System, Atlas) для забезпечення стандартизованої звітності. Спрощує діагностику і оптимізує робочий процес.

S-Detect™ for Breast
Функція, яка аналізує окремі поразки в щитовидної залози, надає дані аналізу, застосовує ATA*, BTA*, EU-TIRADS* and K-TIRADS* для забезпечення стандартизованої звітності. Спрощує діагностику і оптимізує робочий процес.

S-Detect™ for Thyroid
S-Fusion™ дозволяє одночасно локалізувати ураження за допомогою ультразвуку в реальному часі в поєднанні з іншими методами об’ємного зображення.
Автоматична реєстрація Samsung допомагає швидко і точно об’єднати зображення, підвищуючи ефективність і скорочуючи час процедури. S-Fusion ™ забезпечує точне націлювання під час інтервенційних та інших складних клінічних процедур.
Автоматичне співставлення дозволяє виконувати автоматичну первісну реєстрацію шляхом прикріплення зовнішніх маркерів до тіла пацієнта перед обробкою S-Fusion™, що сприяє швидкому і точному обстеження.
Автоматичне позиціонування допомагає швидко і ефективно проводити обстеження за допомогою однокрокової початкової реєстрації між КТ / МР та ультразвуковими зображеннями.
S-Fusion ™ for Prostate підтримує автоматичну функцію калібрування в режимі реального часу, яка допомагає вам виконувати більш точні і надійні процедури.

Auto Calibration
Корекція деформації – це функція, що дозволяє підвищити точність реєстрації за допомогою зображення МР / КТ / ПЕТ шляхом корекції деформованої форми передміхурову залозу, коли датчик стискається під час процедури, і вона корисна для цільової біопсії.

Deformation Correction
S-Fusion ™ for Prostate забезпечує безпечну навігацію і точне націлювання під час біопсії простати на основі 3D-моделей, створених з наборів даних МР, а також надає функцію для повідомлення про місцезнаходження біопсії.

3D Modeling
| RS85 | конвекс CA1-7A, лінійка LA3-16A, внутрішньопорожнинний EA2-11AV | 5 953 200 | Принтер входить до всіх комплектацій |
| конвекс CA1-7A, лінійка LA2-14A, фаза PA1-5A | 5 915 480 | ||
| конвекс CA1-7A, лінійка LA2-14A, фаза PA1-5A, внутрішньопорожнинний EA2-11AV | 6 414 450 |
Написати відгук
Ваше Ім’я: